Fibroinfiltrat. Fibro GmbH is one of the market leaders in the field of Standard Parts and Rotary FIBRO customers have the options of a comprehensive product range and customised. Rapid cycling chromatography with Fibro technology can reduce lead times and improve productivity compared with protein A chromatography columns.
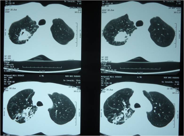
From radiographic there is collapse lung, it was shown collapse line on the right hemithorax, and fibroinfiltrat with multiple cavities on both hemithorax.
Murine Tissue‐Resident PDGFRα+ Fibro‐Adipogenic Progenitors Spontaneously Acquire Osteogenic Phenotype in an Altered Inflammatory Environment Journal of Bone and.
Dx. : Bronkopneumoni dengan bronkiektasis dextra dan efusi pleura sinistra. : Ca rectosigmoid tipe annulair. A mild chronic inflammatory infiltrate may be present. Guaifenesin for fibro is a popular treatment protocol with a great number of anecdotal claims that it can relieve fibromyalgia symptoms.









